
Minimal-invasive Tumortherapie (TACE)
Was ist eine TACE?
Was ist eine TACE?
Die Transarterielle Chemoembolisation (TACE) ist ein minimal-invasives Verfahren zur Behandlung von Lebertumoren. Dabei werden Chemotherapeutika direkt in die Blutgefäße des Tumors injiziert, um das Tumorwachstum zu hemmen und die Tumorzellen gezielt zu zerstören.
Wie wird der Eingriff durchgeführt?
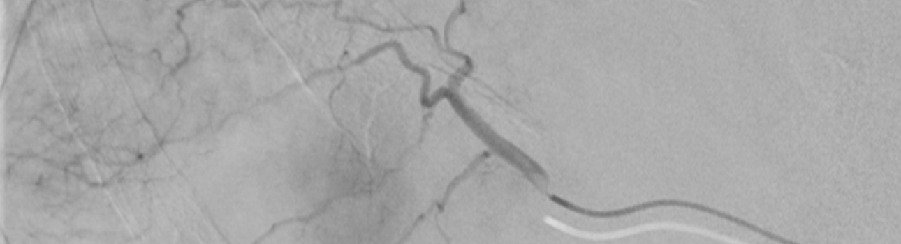
Wie wird der Eingriff durchgeführt?
Unter örtlicher Betäubung wird über einen kleinen Schnitt in der Leiste ein Katheter in die Oberschenkelarterie eingeführt. Dieser wird unter Röntgenkontrolle bis in die Leberarterie vorgeschoben. Mit jodhaltigem Kontrastmittel wird die genaue Lage der Tumore bestimmt. Anschließend werden Chemotherapeutika und Embolisationsmaterial in die versorgenden Gefäße injiziert. Dies ermöglicht eine gezielte Verabreichung des Chemotherapeutikums direkt an den Tumor, wodurch die systemischen Nebenwirkungen reduziert werden können, die bei der herkömmlichen intravenösen Verabreichung auftreten können. Gleichzeitig blockiert das Embolisat die Blutversorgung des Tumors, was zu dessen Verkleinerung oder Zerstörung führt.
Nach dem Eingriff verbleibt ein Druckverband bis zum Folgetag. Anschließend erfolgt eine stationäre Überwachung für ein bis drei Tage.
Was sind die Vorteile der TACE?
Was sind die Vorteile der TACE?
- Minimalinvasiv: Es ist kein chirurgischer Eingriff notwendig.
- Kurze Erholungszeit: Die TACE ermöglicht eine rasche Rückkehr in den Alltag.
- Wiederholbarkeit: Die TACE kann mehrere Male durchgeführt werden, um den Tumor weiter zu behandeln oder um das Tumorwachstum zu kontrollieren.